Retina

age related macular degeneration
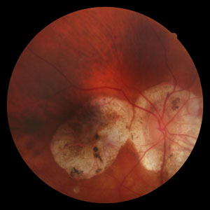
Myopic Macular Degeneration
Very little research has been performed on the treatment of myopic macular degeneration , and yet many eye doctors recommend that their own patients with this condition take nutritional supplements...
